微观世界的“安全侦探”:揭秘毒理学动物模型如何为药物“排雷”
您好!这里是武汉傲星生物。在我们的日常科研工作中,经常会遇到客户提出这样的问题:“我新合成的这个化合物,想开发成新药,但它安全吗?会不会对器官造成损伤?”
这个问题,就像我们要派出一位陌生的“特工”(新化合物)去执行一项重要任务,但我们必须确保这位“特工”不会“误伤友军”(对人体正常组织造成损害)。如何提前预知它的安全性?这时,就需要请出我们实验室里的“安全侦探”——毒理学动物模型。
今天,就让我们以SD大鼠肾毒性研究为例,带您走进这位“侦探”的日常工作,看它是如何火眼金睛地为药物“排雷”的。
为何要派“侦探”出动?——模型的必要性 在药物研发和毒性评估过程中,了解化合物对器官的潜在损害至关重要1。肾脏作为人体重要的排泄器官,极易受到药物和环境毒物的影响,导致肾功能损伤甚至衰竭。例如,胺基糖苷类抗生素可引起急性肾损伤,甚至可能发展为慢性肾病。传统体外细胞模型虽然能提供初步信息,但无法完全模拟体内复杂的生理环境、多器官相互作用以及药物的吸收、分布、代谢和排泄(ADME)过程。因此,动物模型成为连接体外研究与临床实践的关键桥梁。简单来说,这个实验的核心目的就是:在可控的条件下,模拟化合物进入生物体后的情况,精确评估它是否对肾脏等关键脏器有损伤,损伤的程度如何,为后续的药物开发提供至关重要的安全性数据。
动物模型不仅能揭示药物对靶器官的直接毒性,还能评估其全身性影响。例如,沙索拉尼(Sotorasib)的非临床安全性评估就包括了毒理学研究以支持其市场应用。此外,利用动物模型可以研究年龄、基础疾病等因素对药物代谢和毒性的影响。糖尿病等基础疾病会显著改变药物的ADME过程,从而影响药物的毒性效应。因此,构建疾病动物模型对于评估药物在特定患者群体中的安全性具有重要意义。
“侦探”的破案工具箱与方法论——实验如何开展
我们的“侦探”破案,讲究的是科学、系统和证据链完整。一次标准的肾毒性评估,通常分为以下几个关键步骤:
熟悉环境,进入状态(适应性饲养):我们从标准实验动物中心引进健康的SD大鼠后,不会立刻开始实验。而是让它们在洁净、温湿度适宜的环境中“度假”一周。这可不是浪费时间!目的是让大鼠们适应新的居住环境和饲养员,消除运输带来的应激反应,确保它们以最自然、稳定的生理状态投入到“工作”中,这样得到的实验结果才更真实可靠。例如,一项研究中,SD大鼠在进行动脉血栓形成实验前会经过一周的适应期。在糖尿病肾病的研究中,大鼠同样需要适应性饲养。
模拟“特工”潜入,持续观察(给药干预):应期结束后,根据实验设计,我们将大鼠分为不同的“任务小组”,例如:
肾毒性诱导:根据研究目的,可采用不同方法诱导肾脏损伤。例如,使用顺铂或氯化镉诱导急性肾小管坏死,或通过链脲佐菌素(STZ)诱导糖尿病,进而研究糖尿病性肾病。SD大鼠也可通过肾蒂夹闭诱导缺血/再灌注损伤以模拟急性肾损伤
对照组:实验需设置多个对照组,包括正常对照组、模型对照组(未进行药物干预的疾病模型组)以及阳性药物对照组,以确保实验结果的可靠性和可比性
低、中、高剂量组:在成功建立肾损伤模型后,对大鼠进行药物干预。药物的剂量、给药途径和持续时间需根据预实验和文献报道确定、给予不同剂量的待测化合物。
通过灌胃、注射等“合适方式”,让化合物这位“特工”进入大鼠体内,并持续给药一段时间。这个过程,就是在模拟药物在生物体内的长期暴露情况。
收集关键证据,深入分析(麻醉取材与检测):给药结束后,就到了“侦探”收集决定性证据的时刻。我们在麻醉状态下对大鼠进行无痛取材,主要收集两大关键证据:
1、直接证据——肾脏组织的病理学检查:这是最直观的“犯罪现场调查”。我们将取出的肾脏组织制成极薄的切片,在显微镜下进行“地毯式搜索”。健康的肾脏细胞排列整齐,结构清晰。而如果化合物有肾毒性,我们可能会看到:
炎症细胞浸润: 像“现场”出现了不该有的“外来人员”。
肾小管上皮细胞水肿、坏死、脱落: 就像“净化工厂”的流水线设备出现了损坏。
质纤维化: 长期损伤可能导致“工厂”环境变得僵硬、失去功能。

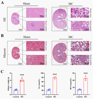
通过每天灌胃三聚氰胺和氰尿酸构建大鼠毒理学模型。HE染色结果表明,药物干预12周后,模型组大鼠肾脏出现明显病变,包括形成金棕色结晶、肾小管上皮细胞损伤、炎性细胞浸润及间质水肿。Masson染色结果表明,模型组大鼠肾小管及间质出现明显纤维化,胶原纤维明显增多。模型组大鼠肾脏质量有显著升高,提示肾脏肥大增生;血清生化检测发现模型组大鼠肌酐和尿素氮均有显著升高,提示肾功能损伤。
2、间接证据——血液生化指标检测:除了看“现场”,我们还要检查“工厂”的排放物和运行日志。通过检测采集的血液样本,我们可以分析关键的肾功能指标。
血肌酐(SCr)和尿素氮(BUN): 这是最重要的两个指标。它们本是身体产生的废物,靠肾脏过滤排出。如果血液中这两项指标显著升高,就像“净化工厂”的排污系统出了故障,废物堆积,直接证明肾功能下降。
其他指标: 如胱抑素C(Cys C)等,能更早期、更灵敏地反映肾小球滤过功能的变化。

上图展示了一项慢性肾衰竭(CRF)大鼠模型的研究结果。图C、图D和图E分别显示了血清肌酐(Scr)、血尿素氮(BUN)和24小时尿蛋白水平,这些都是评估肾功能的重要指标11。图I和图J则展示了肾小管损伤评分和肾间质纤维化面积百分比,通过病理学分析直观地揭示了肾脏损伤和修复的程度。这些指标的变化共同印证了CRF模型的建立以及药物干预的效果
案例复盘与结案陈词
将病理观察和生化指标的结果进行综合分析,我们就能对这位“特工”(待测化合物)做出最终“判决”
如果各剂量组的大鼠肾脏结构完好,肾功能指标与对照组无差异 → 结论:在该实验条件下,该化合物未观察到明显肾毒性,安全性良好,可以推进下一步研究。
如果中、剂量组出现明显的病理损伤,且血肌酐、尿素氮显著升高,并存在剂量依赖性(剂量越高,损伤越重)→ 结论:该化合物具有明确的肾毒性,需要警示,并深入探讨其毒理机制,或停止开发。
总结一下:毒理学动物模型,就像一位训练有素的“安全侦探”,它通过在体实验(in vivo),系统性地为我们揭示了化合物在活体复杂环境中的真实面貌。它不仅告诉我们“是否安全”,更能揭示“如何损伤”,为药物的研发之路扫清雷区,是基础科研和临床转化之间不可或缺的桥梁。
在武汉傲星生物,我们拥有经验丰富的科研团队,能够为您提供包括肝肾毒性、神经毒性、生殖毒性等在内的全方位、定制化的毒理学服务。从实验设计、模型构建到指标检测与数据分析,我们为您的新药研发之旅保驾护航!如果您有任何基础科研实验的需求或疑问,欢迎随时联系我们,让傲星生物成为您最可靠的科研伙伴!


